حشوات الاسنان

Before After

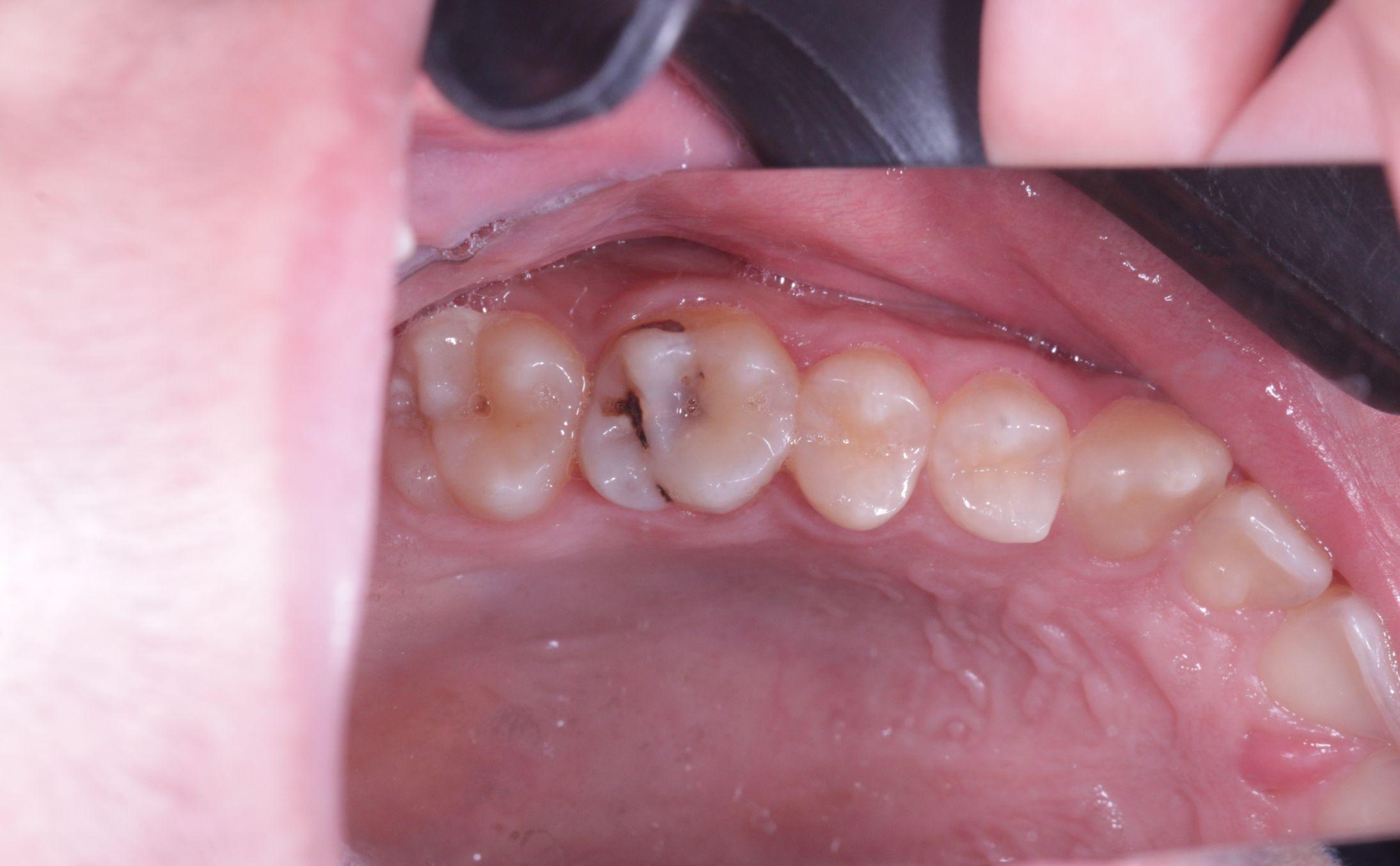
الحالة 1

Before After

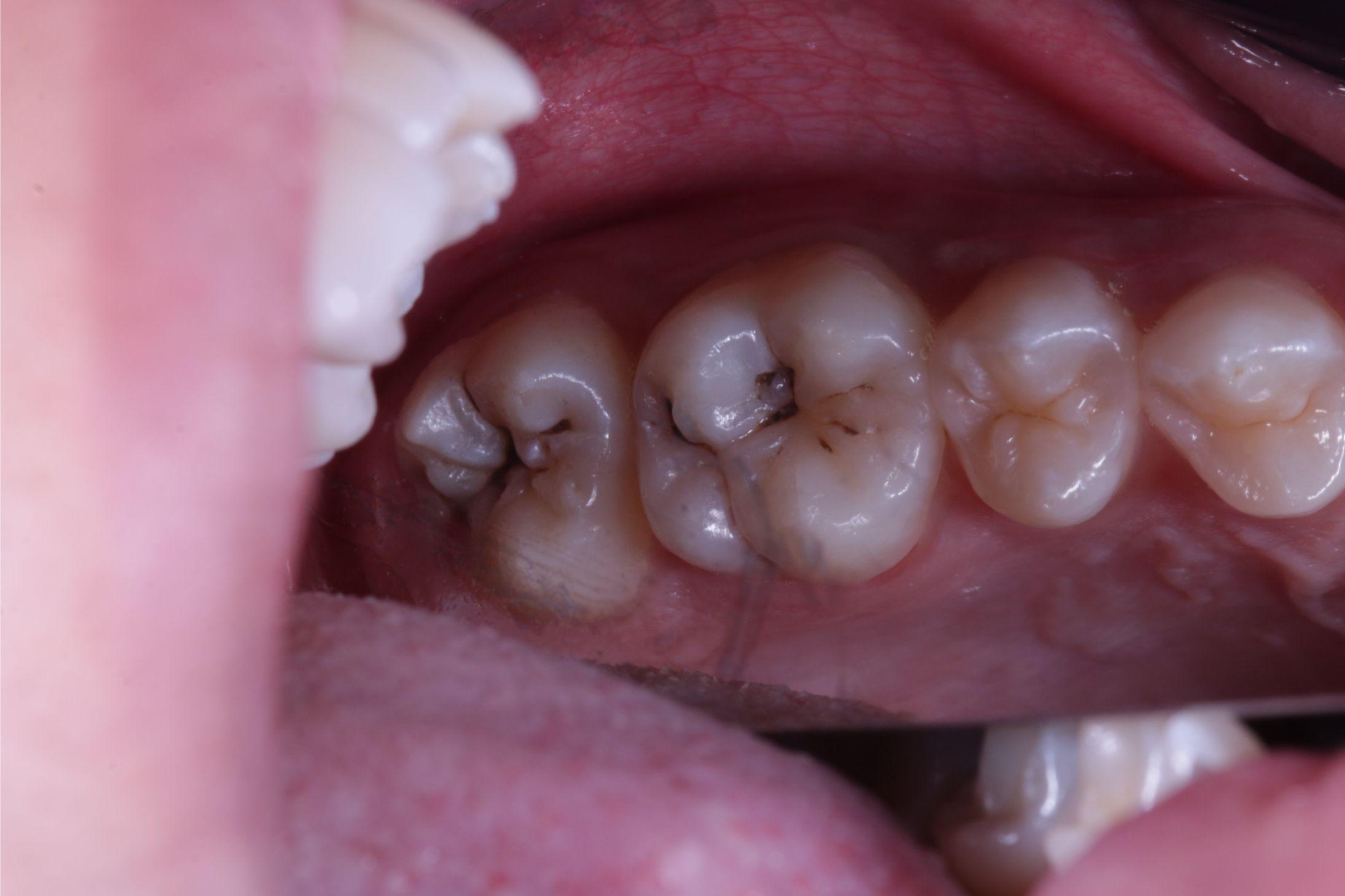
الحالة 2

Before After

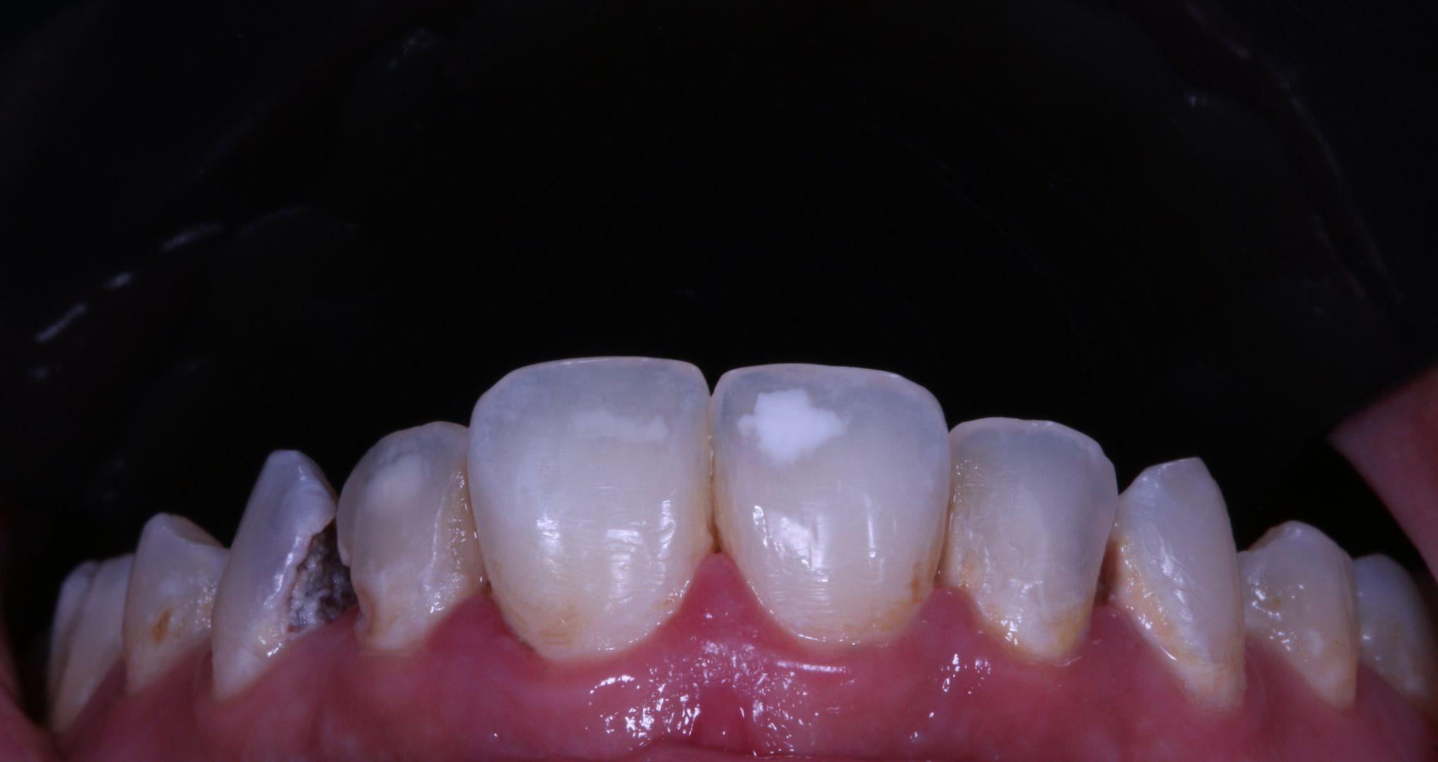
الحالة 3

Before After

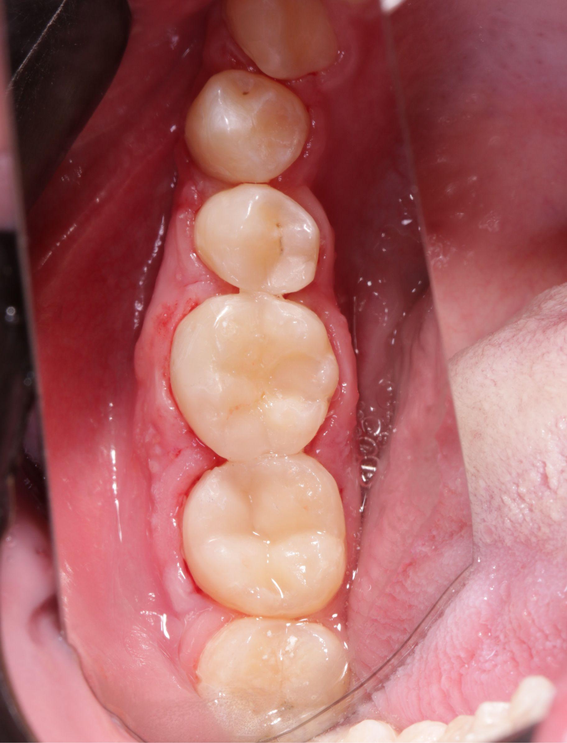
الحالة 4

Before After

الحالة 5

Before After

الحالة 6